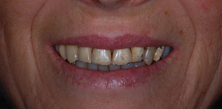
Protesi Una protesi è un dispositivo artificiale atto a sostituire una parte del corpo mancante (un arto, un organo o un tessuto) o a integrare una danneggiata.